Exactech a décidé de changer le procédé de fabrication additive d’une prothèse d’épaule Equinoxe®, pour un procédé de fabrication par impression 3D laser.
La société de technologie médicale a d’abord tiré parti de la fusion par faisceau d’électrons (EBM) pour créer l’épaule sans tige, qui est une prothèse totale d’épaule anatomique préservant les os. L’équipe va maintenant utiliser l’impression directe du métal pour créer sa cage osseuse poreuse.
« Nous avons été incroyablement satisfaits de notre première prothèse d’épaule sans tige EBM et des premières réactions cliniques positives que nous avons reçues de nos clients chirurgiens. Le nouveau dispositif imprimé au laser repose sur cette base solide tout en nous donnant la possibilité d’augmenter la production pour servir encore plus de patients, ce qui nous motive et nous permet d’accomplir notre mission », a déclaré Chris Roche, vice-président d’Exactech pour les extrémités.
Les chirurgiens orthopédistes Curtis Noel, de la Crystal Clinic à Akron, Ohio, et Stephanie Muh, MD, du Henry Ford Health System à Detroit, Michigan, ont été les premiers à pratiquer les opérations avec cet implant de pointe au début du mois.
« En tant que membre de l’équipe de conception, je suis très fier d’être l’un des premiers à implanter l’épaule sans tige imprimée au laser », a déclaré le Dr Noel. « La conception qui préserve l’os, ainsi que sa compatibilité avec le système d’épaule Equinoxe, en font une excellente solution pour les patients et les chirurgiens ».

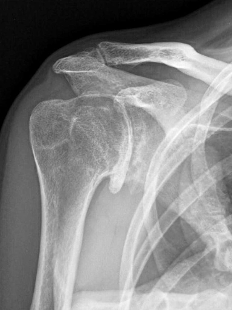
Voici la radiographie préopératoire. Image fournie par le Dr. Stephanie Muh. 
Voici la radiographie post-opératoire montrant l’épaule sans tige et la glène de la cage d’équinoxe, imprimées au laser. Image fournie par le Dr. Stephanie Muh.
« L’une des caractéristiques que je préfère de l’implant Stemless est sa structure de cage osseuse qui est conçue pour fournir une fixation initiale par pression tout en permettant une croissance osseuse. Cet élément de conception intentionnel, ainsi que la structure poreuse conçue pour imiter la nature trabéculaire de l’os spongieux, le différencie de ses concurrents », a déclaré le Dr Muh.
Exactech prévoit de faire passer toutes les procédures de l’épaule sans tige à ses dispositifs imprimés au laser pendant le reste de l’année.
N’oubliez pas que vous pouvez poster gratuitement les offres d’emploi de l’industrie de la FA sur 3D ADEPT Media ou rechercher un emploi via notre tableau d’offres d’emploi. N’hésitez pas à nous suivre sur nos réseaux sociaux et à vous inscrire à notre newsletter hebdomadaire : Facebook, Twitter, LinkedIn & Instagram ! Si vous avez une innovation à partager pour le prochain numéro de notre magazine numérique ou si vous avez un article à faire connaître, n’hésitez pas à nous envoyer un email à contact@3dadept.com






